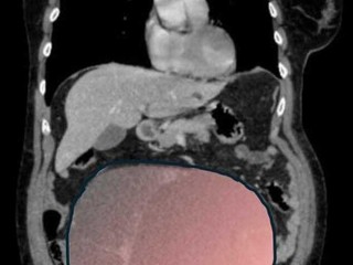
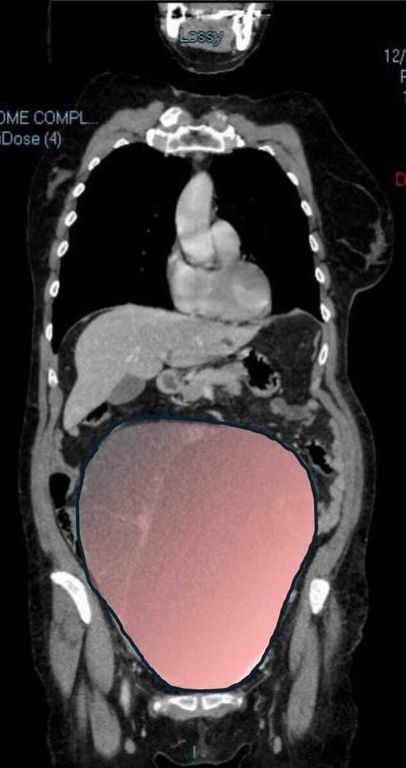
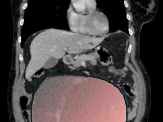
Non avvertiva dolore e non immaginava ciò che stava crescendo silenziosamente dentro di lei. Una donna di 69 anni ha scoperto di essere affetta da un tumore ovarico di dimensioni eccezionali, paragonabile a una gravidanza gemellare a termine, solo quando il suo organismo ha improvvisamente iniziato a cedere a metà dicembre.
Un miracolo di Natale in corsia
Il caso, definito dai medici un evento “normalmente eccezionale”, è stato preso in carico dalla Chirurgia Ginecologica mininvasiva dell’ospedale Sant’Anna di Torino, diretta dal dottor Paolo Petruzzelli. Nonostante le festività imminenti, la macchina della sanità piemontese si è attivata con una rapidità straordinaria: il 23 dicembre la paziente è stata sottoposta a un intervento durato sei ore che ha visto l’asportazione di una massa di ben 6 chilogrammi e un diametro di 28 centimetri.

L’eccellenza della rete multidisciplinare
Il successo dell’operazione è il risultato di un coordinamento perfetto tra diversi presidi della Città della Salute e della Scienza di Torino. In sala operatoria hanno collaborato ginecologi, anestesisti, gastroenterologi dell’ospedale Regina Margherita, anatomopatologi e chirurghi d’urgenza delle Molinette. Questa sinergia ha permesso di trattare non solo la neoplasia ovarica, ma anche una seconda lesione intestinale che stava provocando una gravissima sofferenza all’organismo della donna.
“Sono casi rari che dimostrano come il lavoro di squadra possa fare la differenza anche in urgenza”, ha sottolineato il direttore sanitario Umberto Fiandra. Il direttore generale della Città della Salute, Livio Tranchida, ha lodato la capacità di schierare contemporaneamente tutte le competenze necessarie, trasformando una situazione critica in una storia di speranza. Un risultato che pone ancora una volta il Piemonte all’avanguardia nella gestione delle complessità oncologiche, regalando alla paziente la possibilità di tornare a guardare al futuro proprio nei giorni dedicati agli affetti più cari






